Crown Lengthening (Closed) #9
2 MIN READ
Crown Lengthening (Closed) #9
By Timothy Anderson, DDS on May 18, 2022
Case Summary:
A 60-year-old female patient presented to the practice with complaints about the appearance of her front crown. After full consultation, it was determined that she was not only unhappy with color/contour of the existing crown, but also the gingival architecture that framed her smile. The patient had a defective restoration on tooth #8 PFM with asymmetry of the gingival zenith on the tooth #9, but did not want to undergo an invasive gum surgery. Therefore, the clinical objective was to obtain an esthetic restoration and gingival architecture on the tooth #9 utilizing a non- invasive closed crown lengthening surgical approach with Solea. The full coverage restoration on tooth #8 and partial coverage on teeth #7,9,10 were prepped immediately following the crown lengthening.

Technique Used:
To start, a gingivectomy was performed on tooth #9 to ablate the gingiva to desired height. The dentist used Solea utilizing the 1 mm spot size with cutting speed between 20-40% and 20% mist to remove the excess tissue. The bone was then sounded with a period probe to determine the amount of crestal bone that needed to be reduced to ensure adequate biologic width. The alveolar bone reduction was completed by directing the laser beam down the long axis of the tooth (slightly towards the tooth) using the 0.5 mm spot size with cutting speed between 20-40% and 100% mist. Sulcus depth was checked periodically to verify how much bone had been removed. Once adequate probing depth had been achieved, the teeth were then prepped and temporized. 1 carpule of 4% articaine with 1:100K epi was used during this treatment as 4 teeth were prepped for crowns at the same time.

Results:
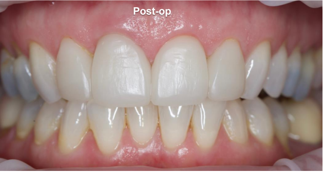
Solea’s precision enabled complete control of the tissue and the outstanding clinical results. The procedure was finished quickly and there was almost no bleeding. With Solea, the crown lengthening and tooth preparations could be completed in a single visit. This allowed for proper tissue healing around temporaries, fewer appointments for the patient, and less chair time for the clinic. The patient noted no post-op discomfort. She said that the final restoration and process exceeded her expectations.

Solea Advantage:
- With traditional methods (e.g., a scalpel and sutures) the entire surgical procedure would have been a separate 60 min visit, compared to under 10 minutes with Solea.
 - This case highlights Solea’s exceptionally clean surgical cutting with predictable, rapid healing and minimal bleeding.
 - The dentist was able to perform this procedure in-house rather than refer it out.
 - Reduced procedure time to 4-5 minutes compared to approximately 45-60 minutes with traditional tools.
 - The patient was thrilled not only with the esthetic outcome, but also the speed and lack of the more invasive “traditional surgical approach” needed to complete the procedure.
 
A Novel Approach to Treating Hairy Tongue
Case Summary: A 69-year-old woman presented to the clinic at Midwestern Universi...
2 min read
Infant Lingual and Maxillary Frenectomies
Case Summary: The patient, a 10-week-old male infant, presented with a Class III...
2 min read

